Abstract
Background/Aims: Ischemia-reperfusion (I/R) injury is believed to be the major cause for detriments in coronary heart diseases, but few effective therapies for prevention or treatment of I/R injury are available. Gypenoside (GP) is the predominant effective component of Gynostemma pentaphyllum and possesses capacities against inflammation and oxidation. In the present study, the role of GP in ameliorating myocardial I/R injury was investigated. Methods: effect GP on the cardiac structure of I/R injured rats was assessed by H&E and TTC staining. Then the influence of GP on the cardiac function of rat model was determined by measuring hemodynamics parameters, levels of lactate dehydrogenase (LDH) and creatine kinase (CK). Thereafter, effect of GP on apoptotic process was evaluated with both rat and cell models. The production of molecules related to ER stress and apoptosis was quantified for revelation of pathways involved in the myocardial protective effect of GP. Results: Impairments in cardiac structure due to I/R injury was ameliorated by GP treatment. And it was evidently demonstrated that administration of GP not only effectively decreased the apoptotic rates in both rat and cell models but also markedly improved the cardiac function of I/R injured rats. In addition, results of western blotting revealed that the GP inhibited ER-stress and apoptosis through the blockade of CHOP pathway and activation of PI3K/Akt pathway. Conclusion: the current study showed the potential of GP to alleviate myocardial I/R injury and preliminarily uncovered the underling mechanism driving this treatment.
Introduction
Coronary heart disease (CHD) is the major cause of death and disability worldwide [1,2]. Based on WHO's investigation in 2012, more than 17.5 million non-communication diseases death is attributed to disorders related to CHD (http://www.who.int/gho/ncd/mortality_morbidity/cvd/en/). Detriments of CHD are generally attributed to attack of acute myocardial infarction (AMI), which is defined as the phase of the first six hours after the onset of coronary artery occlusion. Fortunately, developments in medical and coronary interventions have been achieved and contribute to the control of mortality rates of AMI. Currently, primary percutaneous coronary intervention (PPCI) and thrombolytic therapies are the most effective treatments for AMI. However, these treatment modalities are rendered less effective by them leading to further cardiomyocyte death known as ischemia-reperfusion (I/R) injury [3,4,5]. Contrary to the rapid development of PCI technology and antiplatelet agents, few means for prevention of myocardial I/R injury are available. With such potential clinical importance, therapies targeting myocardial I/R injury for further cardio-protection is imperative.
I/R injury is associated with increased release of reactive oxygen species (ROS) which then activates oxidative damage such as endoplasmic reticulum (ER) stress, and augmentation of apoptosis [6,7,8,9]. Thus, pro-oxidation chemokines and cytokines play important roles during the initial stage of reperfusion [10]. Based on such theory, numerous chemicals and natural products with anti-oxidant capacity have been extensively investigated for their therapeutic potential against I/R injury [11,12,13,14,15,16,17,18]. Gynostemma pentaphyllum, also known as ‘Jiaogulan', is a folk medicine and herbal tea in Asian countries. Gypenoside (GP) is the predominant effective component of Gynostemma pentaphyllum and has shown its potency in antagonizing inflammation and oxidation [19,20,21]. Furthermore, it is reported that GP is capable of improving the cardiac function of myocardial ischemia mice [22,23]. And the therapeutic effect of GP against hepatic I/R injury is also verified [2 4]. However, to the best of our knowledge, the effect of GP on myocardial I/R injury has not been proved, not to mention the underlying mechanism involved in the process.
Therefore, in the current study, the cardio-protective function of GP against myocardial I/R injury was investigated with a series in vitro and in vivo experiments. And to uncover the mechanism related to the attenuating effect of GP on myocardial I/R injury, regulation of GP on Akt and C/EBP homologous protein (CHOP) pathways which are closely related to ER stress mediated apoptotic processes during [25,26,27], I/R injury, were assessed. Findings outlined in the current study confirmed the protective effect of GP on myocardial tissues against I/R injury: administration of GP not only attenuated ER stress but also inhibited apoptosis in cardiomyoctyes. Based on the investigation at molecular level, GP might take protective action on myocardial tissues via augmentation of PI3K/Akt pathway.
Materials and Methods
Chemicals, cell cultures and animals
GP was purchased from the China National Pharmaceutical Group Corporation (Beijing, China) and dissolved in saline following instructions. PI3K/Akt pathway inhibitors LY294002 and wortmannin were purchased from Sigma-Aldrich, St Louis, MO, USA . Antibodies against Bcl-2, Bax, GRP78, and ATF4 were purchased from Boster (Catl. No. BA0412, BA0315, BA4293, BA1501-2. Boster, China). Antibodies against cleaved caspase 3, CHOP, p-eIF2α, and eIF2α were purchased from Abcam (Catl. No. ab2302, ab11419, ab11419, ab4837, ab26197. Cambridge, MA). Antibodies against p-Akt (Thr 308), p-Akt (Ser 473), Akt, p-GSK3β, GSK3β, and β-actin were purchased from Santa Cruz Biotechnology, Inc. (Catal. No. sc-135651, sc-293125, sc-8312, sc-11757, sc-9166, sc-47778. Santa Cruz, CA, USA). Antibodies against cleaved caspase-12, p-PERK, and PERK were purchased from Beijing Biosynthesis Biotechnology Co., LTD (Catal. No. bs-1105R bs-3330R, bs-2469R). H9c2 cardiac myoblasts were obtained from American Type Culture Collection (ATCC) (Rockville, MD) and cultured in DMEM/F-12 medium supplemented with 10% (v/v) fetal bovine serum (FBS) and 1% (v/v) antibiotics mixture in an atmosphere of 95% air and 5% CO2 at 37ºC. Eight-week-old male Wistar rats (weighing 240-260 g) were purchased from Experimental Animal Center of China Medical University and maintained in cages at room temperature (20-25ºC) with a constant humidity (55 ± 5%) with free access to food and water. All animal experiments were conducted in the accordance with the Institutional Animal Ethics Committee and Animal Care Guidelines for the Care and Use of Laboratory Animals of The First Affiliated Hospital of China Medical University.
Myocardial I/R injured rat model establishment
In short term experiments, 90 male Wistar rats were randomly divided into 5 groups (18 for each group): 1) Sham group, rats were gavaged with ddH2O before model establishment and underwent the same surgical procedure without ligation. 2) I/R group, the left anterior descending coronary arteries (LAD) of the animals were reversibly occluded for 45 min followed by 3 h of reperfusion as described previously [28]. 3) I/R + GPL group, rats were gavaged with 50 mg/kg body weight GP 1 h before model establishment. 4) I/R + GPM group, dose of GP was 100 mg/kg body weight. 5) I/R + GPH group, dose of GP was 200 mg/kg body weight. Of all the experimental animals in each group, six rats were used for hemodynamics parameters measurement and H&E staining, six ones were used for TTC staining and lactate dehydrogenase (LDH) and creatine kinase (CK) detection, and the left six were used for terminal-deoxynucleoitidyl transferase mediated nick end labeling (TUNEL) staining and Western blotting assay.
In long term experiments, 36 male Wistar rats were randomly divided into 3 groups (12 for each group): 1) Sham group. 2) I/R group. 3) I/R+GPH group. The assay was performed according to previous study [29]: briefly, rats were gavaged with 200 mg/(kg body weight) gypenoside one hour before I/R injury induction. 24 hours after I/R injury model establishment, rats were gavaged with 200 mg/(kg body weight) gypenoside again. Then in the following two days, model animals were gavaged with 200 mg/(kg body weight) at the same time of the day. Thereafter, rats were housed for another four days before assessment of the effect of gypenoside. Of all the experimental animals in each group, six rats were used for hemodynamics parameters measurement and the left six ones were used for TTC staining.
OGD/R cell model establishment
Concentration of H9c2 was adjusted to 5 × 104cell/mL and incubated on slides in one well of 24-well plates for 24 h. For OGD/R treatment, H9c2 cells of log-growth stage (concentration adjusted to 5×104/mL) were cultured in glucose-free DMEM medium in an atmosphere of 95% N2 and 5% CO2 at 37°C for 4 h. For reoxygenation, OGD cells were incubated with medium containing 4.5 mg/mL glucose in an atmosphere of 5% CO2 and 95% air for 24 h. And seven different treatments were set up: 1) control group, normal H9c2 cells. 2) OGD/R group. 3) OGD/R + GPL group, cells were incubated with 5 µM GP 24 h before model establishment. 4) OGD/R + GPM group, dose of GP was adjusted to 10 µM. 5) OGD/R + GPH group, dose of GP was adjusted to 20 µM. 6) OGD/R + GPH + LY294002 group, 20 µM LY294002 were added to the cells before GP treatment. 7) ODG/R + GPH + wortmannin group, 300 nM wortmannin were added to the cells 1 h before GP treatment. Each treatment was represented by three replicates.
Hemodynamics parameters measurement
Upon completion of the model establishment, left ventricular end systolic pressure (LVESP) and left ventricular end-diastolic pressure (LVEDP) were monitored with awake rats using a noninvasive blood pressure system (XBP 1000, Kent Scientific, Torrington, Conn) according to the manufacturer's instruction. Briefly, the rats were fastened in a restrainer for a long period for the acclimation to the device, which was judged by the absence of struggling. The left ventricular end systolic diameter (LVESD), the left ventricular end-diastolic dimension (LVEDD), and factional shortening (FS) was calculated by assuming a spherical left ventricular geometry with the algorithms of ultrasound system using Philips iE33 system (Philips Ultrasound, Bothell, WA). All the parameters were represented by at least three replicates
Measurement of biochemical parameters
After measurement of hemodynamics parameters, rats were executed using air embolism methods and their myocardial tissues were harvested and preserved in -80°C for further histological and molecular biological analyses. Serum levels of lactate dehydrogenase (LDH) and creatine kinase (CK) were measured using ELISA assay kits (Catal. No. A032, A020-1, Nanjing Jiancheng Bioengineering Institute, Nanjing, China) according to the manufacturer's instructions.
H&E and TTC staining
The histological changes in ischemic penumbra part of heart tissue in different groups were observed using H&E staining and the results were detected under microscope at 200× magnification. Then infarction area in the whole left ventricle of the heart of each sample were determined using 2,3,5-triphenyltetrazolium chloride (TTC) method. Briefly, myocardial tissues were cut into five 2-mm transverse slices and then were incubated in 1% TTC in a 7.4 pH buffer for 10 min at 37°C to allow the demarcation of the infarcted region: pale tissue was presumed to be infarcted. The percentages of infarcted area in each slice were measured using the Image-Pro Plus software.
TUNEL staining
Cell apoptotic rates of myocardial tissues and cell samples were also determined using TUNEL staining as described previously [30] with some modifications. Briefly, sections were permeabilized with 50 µL 0.1% Triton X-100 at room temperature for 8 min. Then the sections were washed with PBS buffer for 5 min by three times before incubated in 3% H2O2 for 10 min at room temperature to seal the sample reduce non-specific staining. After another three 5-min washes using PBS buffer, sections were covered with TUNEL reaction solution (enzyme solution: label solution = 1:9) (In Situ Cell Death Detection Kit, Catl. 11684817910, Roche) and incubated at 37°C for 1 h inhumidified chamber in dark. Then the sections were washed with PBS buffer for three times, 5 min for each time, followed by incubation with Converter-POD at 37°C for 30 min. The reaction was then stopped and cells were redyed with hematoxylin. The TUNEL positive nuclei were stained blue and the number of the positive cells was quantified in six anatomically consistent areas using a light microscope under 200× magnification for cell samples and under 400× magnification for tissue samples, respectively.
Flow cytometry
After completion of reoxygenation of H9c2 cells, 5 µL Annexin V was added to different wells. After incubation with Annexin V for 10 min at room temperature, the cells were resuspended with l×Binding buffer and added with 5 µL Propidium Iodide (PI). Then the apoptotic rates of the cell under different treatments were detected with flow cytometer (C6, BD, USA). Apoptotic cell rate (UR+LR-all apoptosis cell percentage) was equal to the sum of the late apoptotic rate (UR, upper right quadrant-advanced stage apoptosis cell percentage) and the early apoptotic rate (LR, lower right quadrant-prophase apoptosis cell percentage).
Western blotting
The total proteins were extracted from ischemic penumbra part of different samples were extracted using the Total Protein Extraction Kit according to the manufacturer's instructions (Catalog No. WLA019, Wanleibio, China), β-actin was used as internal reference protein. All the extracts were boiled in loading buffer for 5 min and then subject to sodium dodecylsulfate polyacrylamide gel electrophoresis (SDS-PAGE) on 10% gels. Then targeted proteins were transferred onto polyvinylidene difluoride sheets. The membranes were washed with TBST for three times, 20 min for each time. Then primary antibodies against different proteins [Bcl-2 (1:400), Bax (1:400), cleaved caspase 3 (1:1000), p-Akt (Thr 308) (1:200), p-Akt (Ser 473) (1:200), Akt: (1:200), p-GSK3β (1:200), GSK3β (1:200), GRP38 (1:400), CHOP (1:1000), cleaved caspase 12 (1:500), p-PERK (1:500), p-eIF2α (1:1000), eIF2α (1:1000), ATF4 (1:400), β-actin (1:1000)] were incubated with the membranes overnight at room temperature. After additional three washes, secondary antibodies (1:5000) were added and incubated with the membranes for 5 h. After another three washes, the blots were developed using Beyo ECL Plus reagent and the results were detected in the Gel Imaging System. The relative expression levels of different proteins were calculated with Bio-Rad Quantity One.
Statistical analysis
All the data were expressed in the form of mean±SD. One-way ANOVA was conducted and post doc multiple comparisons were performed with Duncan method. All the statistical analyses were conducted using SPSS version 19.0 with a significant level of 0.05 (IBM, Armonk, NY, USA).
Results
Pre-administration of GP ameliorated the cardiac function and structure in I/R injured rat models
Detail data of hemodynamics parameters was shown in Table 1 and Table 2. I/R injury model establishment impaired the values of all the parameters. In short term experiments, for LVESP, the only dose of GP significantly reversed this abnormal condition was 200 mg/(kg body weight). For LVEDP, all GP doses could relieve the damage due to I/R injury but there was no significant difference between different GP treatments (Table 1). For measurement of LVESD, all the groups treated with GP could significantly alleviate the damage due to I/R injury (Table 1). For FS and LVEDD, only the treatment with the highest GP dose made significantly difference to the data compared with those in I/R group (Table 1). Similar effect of GP on the hemodynamics parameters was also detected in long term experiment (Table 2), represent the chronic protection effect of GP against impairments induced by I/R injury as well.
Pre-administration with GP improved the hemodynamics parameters and cardiac injury in model animals (mean ± SD). a, significantly different from sham group, P < 0.05; b, significantly different from I/R group, P < 0.05

Chronic administration with GP improved the hemodynamics parameters and cardiac injury in model animals (mean ± SD). a, significantly different from sham group, P < 0.05; b, significantly different from I/R group, P < 0.05

The serum levels of LDH and CK in I/R group were higher than those in sham group, which confirmed the damage to cardiomyocytes during I/R (Table 1). Post administration of GP, the levels of the two indicators were down-regulated in GP treated groups, and the differences between GP treated groups and I/R group were statistically significant (P < 0.05).
Following H&E staining, the nuclei in myocardial tissue were stained blue and cytoplasms were stained red. A comparison between sham and I/R group revealed severe injuries due to I/R. Pre-administration with GP before model establishment could alleviate the damage with most myocardial cells retaining their normal structure (Fig. 1A).
Pre-administration of GP ameliorated the cardiac structure and function in rat models. (A) illustration of H&E staining of the myocardial tissues in different rat groups (200× magnification): the nuclei in myocardial tissue were stained blue and cytoplasms were stained red. Arrows indicating the demolition of cell structure. Scale bar, 100 µm. (B) quantitative analysis result and representative images of TTC staining: treatment of GP significantly decreased the infarct area caused by I/R injury. a, significantly different from sham group, P < 0.05. b, significantly different from I/R group, P < 0.05.
Pre-administration of GP ameliorated the cardiac structure and function in rat models. (A) illustration of H&E staining of the myocardial tissues in different rat groups (200× magnification): the nuclei in myocardial tissue were stained blue and cytoplasms were stained red. Arrows indicating the demolition of cell structure. Scale bar, 100 µm. (B) quantitative analysis result and representative images of TTC staining: treatment of GP significantly decreased the infarct area caused by I/R injury. a, significantly different from sham group, P < 0.05. b, significantly different from I/R group, P < 0.05.
The impact of pre-administration of GP on the infarction area was shown in Fig. 1B. Exposure to GP before I/R injury remarkably decreased the infarction area. Taken the above results together, although the infarction areas of GP-treated rats were still much larger than those in sham group, the result was indicative of the improvement of myocardial function and structure by GP (Fig. 1B). Moreover, results of long-term assay showed that the infarction area in I/R+GPH group was significantly reduced compared with I/R group and the effect could be observed one week after I/R injury induction (Fig. 2).
Administration of GP showed a long-term protective effect against myocardial I/R injury. Results of TTC staining showed that the infarction area in I/R+GPH group was significantly reduced compared with I/R group and the effect could be observed one week after I/R injury induction.
Administration of GP showed a long-term protective effect against myocardial I/R injury. Results of TTC staining showed that the infarction area in I/R+GPH group was significantly reduced compared with I/R group and the effect could be observed one week after I/R injury induction.
Pre-administration of GP significantly attenuated apoptosis via blockade of CHOP and activation of PI3K/Akt pathways in vivo
For TUNEL staining with myocardial tissues, a smaller number of TUNEL-positive nuclei were observed in GP treated groups compared with sham group (Fig. 3A). Incubation with GP at dose of 10 µM and 20 µM could significantly attenuate the impairments due to I/R treatment (P < 0.05).
Pre-administration of GP significantly attenuated apoptosis in vivo. (A) quantitative analysis result and representative images of apoptosis in rat models as illustrated by TUNEL staining (400 × magnification). a, significantly different from sham group, P < 0.05. b, significantly different from I/R group, P < 0.05. Scale bar, 50 µm. (B) effect of GP treatment on the expression of molecules apoptosis in rat models, the reduction in the expression Bcl-2 resulted from I/R injury was increased by pre-treatment of GP while the up-regulation of Bax and cleaved caspase 3 was inhibited by pre-treatment of GP.
Pre-administration of GP significantly attenuated apoptosis in vivo. (A) quantitative analysis result and representative images of apoptosis in rat models as illustrated by TUNEL staining (400 × magnification). a, significantly different from sham group, P < 0.05. b, significantly different from I/R group, P < 0.05. Scale bar, 50 µm. (B) effect of GP treatment on the expression of molecules apoptosis in rat models, the reduction in the expression Bcl-2 resulted from I/R injury was increased by pre-treatment of GP while the up-regulation of Bax and cleaved caspase 3 was inhibited by pre-treatment of GP.
To investigate the direct effect of GP on apoptosis in myocardial tissues, analyses of the expressions of Bcl-2, Bax, and cleaved-caspase 3 were conducted. In I/R group, the production of Bax and cleaved-caspase 3 was up-regulated while the production of Bcl-2 was down-regulated (Fig. 3B; Table 3; Table 4). The alternation pattern of these molecules in the present could obviously induce apoptosis and contribute to the expansion of infarct size and depression of myocardial function. Pre-condition of GP restored the production of the three proteins in myocardial tissues to a relatively normal level, and the effect was dose-dependent (Fig. 3B; Table 3; Table 4).
Detail IOD values and quantitative analysis results of western blotting assay in in vivo experiment. a, significantly different from sham group, P < 0.05. b, significantly different from I/R group, P < 0.05. c, significantly different from I/R + GPL group, P < 0.05

Ratios of phosphorylated form amount to total amount in rat models after GP administration illustrated by western blot, a, significantly different from sham group, P < 0.05. b, significantly different from I/R group, P < 0.05. c, significantly different from I/R + GPL group, P < 0.05. d, significantly different from I/R + GPM group, P < 0.05

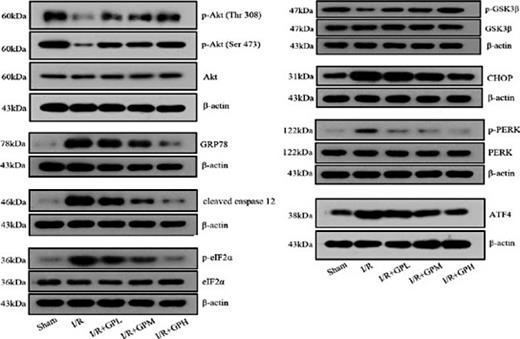
To further explore the underlying mechanism involved in GP attenuating cell apoptosis caused by I/R treatment, the production of proteins within PI3K/Akt pathway and ER stress were detected in myocardial samples. As seen in Fig. 4, Table 3 and Table 4, I/R treatment resulted in dramatic reduction in production of p-Akts and p-Akt/Akt ratios, whereas no apparent effect on the level of total Akt. In groups pre-administrated with GP, the phosphorylation of Akt and p-Akt/Akt ratios gradually returned to a relatively high level, and the effect was dose-dependent. In addition, activity of Akt was also represented by phosphorylation level of GSK3β. As illustrated in Fig. 3, pre-administration with GP could enhance the phosphorylation of GSK3β and p-GSK3β/GSK3β ratio (Fig. 4; Table 3; Table 4). To confirm the effect of GP on ER stress, the expression levels of specific ER stress markers, including GRP78, CHOP, cleaved caspase 12, PERK, eIF2α, and ATF4 were analyzed. It was demonstrated that the activities of all the indicated markers were significantly enhanced in I/R group, representing the activation of ER stress during I/R induction (Fig. 4; Table 3; Table 4). The effect of GP to relieve cells from ER stress was verified by that the activation of all the ER stress specific indicators myocardial tissues was inhibited in GP pre-treated groups (Fig. 4; Table 3; Table 4).
Effect of GP treatment on the expression of molecules involved in the PI3K/Akt pathway and ER stress in rat models: the reduction in the expression of p-Akts and p-GSK3β resulted from I/R injury was increased by pre-treatment of GP; the up-regulation of GRP78, CHOP, cleaved caspase 12, p-PERK, p-eIF2α, and ATF4, was inhibited by pre-treatment of GP; I/R injury or treatment of GP had no influence on the expression of GSK3β, PERK, or eIF2α.
Effect of GP treatment on the expression of molecules involved in the PI3K/Akt pathway and ER stress in rat models: the reduction in the expression of p-Akts and p-GSK3β resulted from I/R injury was increased by pre-treatment of GP; the up-regulation of GRP78, CHOP, cleaved caspase 12, p-PERK, p-eIF2α, and ATF4, was inhibited by pre-treatment of GP; I/R injury or treatment of GP had no influence on the expression of GSK3β, PERK, or eIF2α.
Pre-administration of GP significantly attenuated ER stress and apoptosis in vitro
According to the results of flow cytometry detection, exposure to OGD/R administration induced apoptosis in H9c2 cell lines (Fig. 5A). Incubation with GP could relieve the injury due to the OGD/R process, and the effect was dose-dependent with 20 µM GP showing the most remarkably alleviative effect (Fig. 5A). The results of flow cytometry also indicated that PI3K/Akt pathway participated in the inhibiting effect of GP on apoptosis in H9c2 cells. Incubation with PI3K/Akt inhibitors LY204002 and wortmannin interfered the effect of GP on apoptotic rate (Fig. 5A), and the differences between GP treated groups and inhibitor groups were statistically significant (P < 0.05). The result of TUNEL staining confirmed the inducing effect of I/R process on apoptosis in in vivo experiment (Fig. 5B): incubation with GP at dose of 10 µM and 20 µM could attenuated the damage cells (Fig. 5B), and the differences between those two groups and OGD/R group were statistically significant (P < 0.05). Moreover, the antagonizing effect of PI3K/Akt inhibitors against GP was also verified by TUNEL staining (Fig. 5B).
Pre-administration of GP significantly attenuated apoptosis in vitro. (A) quantitative analysis result and representative images of apoptosis in H9c2 cells as illustrated by FACS. (B) quantitative analysis result and representative images of apoptosis in H9c2 cells as illustrated by TUNEL staining (200× magnification). a, significantly different from control or sham group, P < 0.05. b, significantly different from OGD/R or I/R group, P < 0.05. c, significantly different from OGD/R + GPL group, P < 0.05. d, significantly different from OGD/R + GPM group, P < 0.05. e, significantly different from OGD/R + GPH group, P < 0.05. Scale bar, 100 µm.
Pre-administration of GP significantly attenuated apoptosis in vitro. (A) quantitative analysis result and representative images of apoptosis in H9c2 cells as illustrated by FACS. (B) quantitative analysis result and representative images of apoptosis in H9c2 cells as illustrated by TUNEL staining (200× magnification). a, significantly different from control or sham group, P < 0.05. b, significantly different from OGD/R or I/R group, P < 0.05. c, significantly different from OGD/R + GPL group, P < 0.05. d, significantly different from OGD/R + GPM group, P < 0.05. e, significantly different from OGD/R + GPH group, P < 0.05. Scale bar, 100 µm.
The effect of I/R injury on the expression of our targeted molecules was similar to those in in vivo experiment and pre-treatment of GP also showed a comparable effect to that in in vivo experiments (Fig. 6; Table 5; Table 6). Additionally, incubation with PI3K/Akt inhibitors could also interfere with the effect of GP on the expression of targeted molecules, which was similar to the results in flow cytometry and TUNEL assays (Fig. 6; Table 5; Table 6).
Detail IOD values and quantitative analysis results of western blotting assay in in vitro experiment. a, significantly different from control group, P < 0.05. b, significantly different from OGD/R group, P < 0.05. c, significantly different from OGD/R + GPL group, P < 0.05. d, significantly different from OGD/R + GPM group, P < 0.05. e, significantly different from OGD/R + GPH group, P < 0.05

Quantitative analysis results of ratios of phosphorylated form amount to total amount in in vitro experiment. a, significantly different from control group, P < 0.05. b, significantly different from OGD/R group, P < 0.05. c, significantly different from OGD/R + GPL group, P < 0.05. d, significantly different from OGD/R + GPM group, P < 0.05. e, significantly different from OGD/R + GPH group, P < 0.05

Effect of GP treatment on the expression of molecules involved in the Akt pathway activation and ER stress in H9c2 cell line: the reduction in the expression of p-Akt (Thr 308), p-Akt (Ser 473), and p-GSK3β due to OGD/R treatment was increased by pre-treatment of GP; the up-regulation of GRP78, CHOP, cleaved caspase 12, p-PERK, p-eIF2α, and ATF4 was inhibited by pre-treatment of GP; OGD/R injury or treatment of GP had no influence on the expression of GSK3β, PERK, or eIF2α.
Effect of GP treatment on the expression of molecules involved in the Akt pathway activation and ER stress in H9c2 cell line: the reduction in the expression of p-Akt (Thr 308), p-Akt (Ser 473), and p-GSK3β due to OGD/R treatment was increased by pre-treatment of GP; the up-regulation of GRP78, CHOP, cleaved caspase 12, p-PERK, p-eIF2α, and ATF4 was inhibited by pre-treatment of GP; OGD/R injury or treatment of GP had no influence on the expression of GSK3β, PERK, or eIF2α.
Discussion
Currently, the cornerstone of the treatment for AMI is the timely myocardial reperfusion [31]. However, reperfusion process can itself lead irreversible structure damage and function loss to heart, namely I/R injury. Although plenty of effort has been made to prevent or treat myocardial I/R injury in the recent years, little progress has been made. GP, the major active component of Gynostemma pentaphyllum, possesses capacities to antagonize liver fibrosis, chronic hepatic injury, and fatty liver disease [19,32]. In the present study, it was hypothesized that GP could attenuate myocardial I/R injury via its anti-apoptotic function.
Both in in vivo and in vitro experimental systems, GP showed strong capacity to reduce cell apoptotic rates. In in vivo experiments, hemodynamics parameters of I/R injured rats were significantly improved by GP pre-administration. Moreover, one week post I/R injury induction, the effect of GP administration still persisted in model animals, representing the chronic protective effect of GP on myocardial tissues. To further confirm the damage of I/R injury to cardiomyocytes, the levels of LDH and CK were also determined. Myocardial LDH level is an indicator of necrotic damage and increased CK levels has served as an indicator for myocardial injury for decades. Pre-condition with GP substantially down-regulated the production of the two indicators in I/R injured rats. Simultaneously, the infarct size in heart tissues was decreased by GP treatment as well. Taken together, it was demonstrated that GP strongly protected cardiomyocytes against I/R injury.
Suppression of cell death has been believed to be a logical strategy to protect against I/R injury in that the disorder is primarily characterized by cardiomyocyte necrosis and apoptosis [33,34]. Emerging evidence infers that as a type of the oxidative stress, ER stress plays a crucial role in I/R-induced cell dysfunction [3]. In the present study, up-regulation of CHOP, GRP78, p-PERK, peIF2α, ATF4, and down-regulation of p-Akts were verified both in rat and cell models. CHOP pathway is the major signal transduction pathway by which ER stress can induce cell apoptosis, and GRP78 is a key protein involved in the CHOP pathway [35]. Our data showed that levels of both molecules could be enhanced by I/R and OGD/R induction, representing the activation of ER stress. Identical with existing studies [27,35,36,37,38], the expression of p-PERK, p-eIF2α, and ATF4 were also up-regulated by I/R and OGD/R treatments. These molecules were proved to be the up-stream regulators of CHOP pathway and would be activated by ER stress. According to previous report, ER stress could also induce apoptosis through the inhibition of Akt expression [11,26]. Activity of Akt depends on both its phosphorylation status and the total protein concentration. Generally, activation of Akt is believed to impair the function of ER [39], as a response, ER also deactivates Akt in myocardial tissues: during the prolonged ER stress, the TRB3, which is induced by CHOP, acts as an Akt inhibitor, therefore pushing the cell in the direction of apoptosis [40]. Then deactivation of Akt can further induce the expression of CHOP [39] and further promote the apoptosis due to ER stress.
The above conclusions about apoptotic process were validated by our data. In different models, the synthesis of anti-apoptotic protein Bcl-2 and phosphorylation of GSK3β were down-regulated after I/R and OGD/R processes, respectively. Activation of Akt/GS3Kβ was reported to be involved in the protection against I/R induced apoptosis [39]. In addition, production of Bax and cleaved caspase 3, which were closely associated with the initiation of apoptosis, was up-regulated. All these abnormal expressions were alleviated by pre-administration of GP. With multiple experimental combinations, it finally turned out that GP could weaken ER stress triggered by I/R and OGD/R processes and further relieve cell apoptosis in cardiomyocytes. In addition, by applying PI3K/Akt inhibitors in OGD/R H9c2 cells, it was found that protective effect of GP against OGD/R injury was blocked, indicating that GP therapy might exert its effect primarily on the PI3K/Akt signaling transduction and then impairing the ER stress via inhibition on CHOP. The expression of cleaved caspase 12 was also quantified in the present study. The molecule was reported to be an indicator of ER stress activation [41]. However, its exact function in ER stress has long been debated [42] and was not presumed to be a major evident for GP effect in the present study.
In conclusion, the major findings outlined in the current study elaborated that administration of GP effectively protected cardiomyocytes against I/R injury. The agent might function through the activation of PI3K/Akt pathway, and then inhibiting the ER stress-induced apoptosis in cardiomyocytes by blocking CHOP pathway. Our results showed the potential of GP as a therapeutic strategy against myocardial I/R injury. Still, many unsolved issues, such as the cytotoxicity, the suitable practical dose or the effect of GP compared with other therapies remain. To promoting the prevention and treatment of I/R injury, more comprehensive work on GP need to be conducted in the future.
Disclosure Statement
The authors declare that there is no conflict of interest.






