Abstract
Aim: This work aims to study the regulation of the glutathione peroxidase and catalase activities in myoblasts from the L6 line exposed to 21%, 5% and 1% O2 during the cell differentiation. Material and Methods: Rat L6 myoblasts were grown in 1%, 5% or 21% O2 in the presence or absence of N-acetyl cysteine. The cell proliferation was evaluated by determining the doubling time and kinetics of cultures by counting cells. The cell differentiation was analyzed by determining the myogenic fusion index using antibodies against the myosin heavy chain. The glutathione peroxidase and catalase activities were assayed. The p110-PI3K/Thr308-Akt pathway was studied using western blotting. The oxidative status of the cells was carried out by determining TBARS. Results:5% O2 improves the glutathione peroxidase activity, p110-PI3K/Thr308-Akt pathway and differentiation while 1% O2 alters all these parameters compared to 21% O2. NAC (0.5 mM) can prevent the deleterious effects of hypoxia (1% O2) on the L6 myoblast proliferation and enhances the myoblast differentiation when exposed to 21% O2. TBARS are reduced in 5% O2 compared to both 21% and 1% O2. Conclusion: The glutathione peroxidase activity and p110-PI3K/Thr308-Akt are both modulated in the same way by oxygen.
Introduction
During one's life, skeletal muscles are submitted to mechanical loads inducing micro traumas. In order to repair these lesions, skeletal muscles possess a remarkable feat of regeneration, comparable to embryonic myogenesis. Their regeneration depends on the activation of specific cells called satellite cells [1]. These mononuclear, quiescent and undifferentiated cells are located between the lamina basal and the sarcolemma of muscle fibers. The satellite cells are myogenic precursors originated in the somitic mesoderm of the embryo [2]. When activated, most of these cells are subjected to a process of differentiation depending on the expression of the myogenic factors such as MyoD, Myf5, myogenin and MRF4 while a minority undergoes self-renewal and returns to a quiescent state based on the expression of the genetic marker PAX7 [3], resulting in the formation of new muscle fibers. The terminal differentiation has been shown to be modulated by several signaling pathways such as Notch, calcineurin, p38-MAPK, and PI3K/Akt/mTOR [4,5,6,7].
Skeletal muscle loss happens in several environmental or pathological conditions such as altitude hypoxia [8], heart deficiency [9] and periphery arterial diseases [10]. All these observations suggest a relationship between atrophy and low O2 availability. Since atrophied and weakened muscles contribute to the morbidity and mortality of patients, many studies have been conducted in the last decade to better understand the role of oxygen in the activation of the satellite cells. The results of these studies should be of great interest for the prevention of muscle atrophy and the improvement of cell transplantation.
In mice, in vitro culture experiments have showed that under 3% O2, the myoblast differentiation is impaired [11,12] and at 1% O2 both the proliferation and differentiation are inhibited. The differential effects of hypoxia by species can be observed; in a previous work we showed that in rat myoblast from the L6 line, the proliferation and differentiation slow down at 1% O2 exposure [13]. Below 1% O2, the mouse myoblast differentiation is blocked in a Notch-dependent manner by activating Notch-responsive promoters and increasing the expression of direct downstream genes [4]. On the other hand, low oxygen levels block the PI3K/Akt pathway in an HIF-1 independent fashion [7]. Similarly, hypoxia (1% O2) suppresses the IGF-induced Akt-mTOR and p38-MAPK activities [14]. Conversely, at 3% O2 hypoxia activates the phosphorylation of Akt and improves the primary myoblasts differentiation in the rat [15]. The same results were observed in bovine primary myoblasts exposed to 1% O2 and murine myoblasts from the C2C12 line exposed to 6% O2. At 6% O2, intracellular reactive oxygen species [12] production was lower than the one in 20% ambient O2[16]. The oxidative intracellular environment appears to be an important differentiation factor depending on the ambient O2 level. Interestingly, the role of ROS as a regulator of the IGF-1/Akt pathway was proposed in rat cultured dermal fibroblasts [17]. In normal fibroblasts, IGF-1 induced a strong phosphorylation of Akt whereas phosphorylation is attenuated in fibroblasts expressing the phenotypic characteristics of diabetes, inflammation or hypercortisolemia [17]. This work proposes to study whether oxygen at hyperoxic (21% O2), physiological (5% O2) and hypoxic (1% O2) levels can regulate the L6 myoblast differentiation by modulating the activity of two important enzymes involved in the detoxification of ROS such as glutathione peroxidase and catalase.
Materials and Methods
L6 myoblasts culture, ambient oxygen
To eliminate the heterogeneous responses that could result from using primary cultures, rat myoblasts from the L6 line have been chosen. The L6 myoblasts were grown in DMEM supplemented with 4 mM L-glutamine, 1 mM sodium pyruvate and 10% FBS (GM). The differentiation medium [18] was obtained by DMEM medium supplemented with 4 mM L-glutamine, 1 mM sodium pyruvate and 2% FBS.
Oxygen levels were obtained using a chamber in which ambient air was flushed out by 95% N2 / 5% CO2 until the required percentages of oxygen were obtained (1% or 5%). The percentages of oxygen were controlled using an O2 analyzer (QS System, Rendsburg, Germany). In all the experiments, the culture media were incubated at least 12 hours at 1% and 5% O2 before being used for culture. The chambers were pre-warmed at 37°C prior to culture. The cells were incubated in hypoxia chambers in a humidified atmosphere. The cells grown at 21% O2 in the ambient air were directly placed in a 5% CO2 incubator at 37°C in a humidified atmosphere.
Cell proliferation
The L6 myoblasts were seeded at 50 x 103 cells per well in 6-well plates. Kinetics were obtained by removing the cells after 48h and 72h of culture using trypsin. The cells were incubated in trypan blue and non-colored viable cells were counted in a Malassez cell. Before counting, we checked that all the cells were removed from the plates. The doubling time was calculated as t=48/((lny/x)ln2) where y is the number of cells after culture and x the number of seeded cells after 48h [19]. The data presented are the results of six different cultures.
Cell differentiation
Two protocols of differentiation were performed in this work. We observed that when the cells were seeded at 50 x 103 per well in 6-well plates and 50 x 104 in 100 mm diameter Petri-dishes and were incubated at different oxygen environments. 80-90% confluence was achieved at 72h at 21% O2. In the first protocol (P1), called "spontaneous differentiation", the cells differentiated spontaneously in a growth medium (GM). In this protocol, first myotubes appeared at day 5 of the culture and we let the differentiation continue until day 8. In the second protocol (P2), called "induced differentiation", all the cells were cultured for 72h in GM to 21% O2 in order to eliminate the effects of oxygen on the proliferation and focus on the process of differentiation only. The L6 myoblasts were then incubated in DM at 21%, 5% or 1% O2. All the data presented are the result of six different cultures.
Fusion index and immunostaining
Fusion indexes (number of nuclei in myotubes/total number of nuclei) were calculated for both "spontaneous" and "induced" protocols, by day 8 for P1 and day 3 in DM for P2. At these times, the cells were fixed in 100% methanol at -20°C. They were incubated in 0.05% Triton-100X for 10 min and blocked in 3% BSA. The cultures were then incubated with a primary antibody against fast MHC (MY-32, Sigma, 1:400). After being washed, the cells were incubated with an anti-mouse FITC conjugated (Z0420, Dako, France) or a Hrp conjugated (F0232, Dako France) antibody. The nuclei were stained with Hoechst H33258 (Sigma, France 1:1000) or hematoxylin (Sigma, France). The sections were washed and mounted in Immunomount (Thermo Electron Corporation, France).
Western blot
The Akt pathway was analyzed during the P2 protocol. The L6 myoblasts were removed after 24h and 48h of culture in DM and were homogenized and sonicated in a lysis buffer (50 mM Tris HCl, 100 mM NaCl, pH 7.5, 2 mM EDTA, 2 mM EGTA, 50 mM β-glycerophosphate, 50 mM sodium fluoride, 1 mM Na3VO4, 120 nM okadaic acid, 1 mM PMSF, 1% Triton-100X supplemented with protease inhibitors). Homogenates were centrifuged at 1000 g for 10 min at 4°C. Protein samples, separated by 12% SDS-PAGE, were transferred to nitrocellulose membranes (Hybond) as described by Towbin et al [20]. The membranes were blocked with 5% skimmed milk powder and incubated with the following primary antibodies: anti-α-tubulin (T0926, Sigma), anti-phospho-Akt Thr308 (244F9, Cell Signaling, France) and anti-p110-PI3K (4255, Cell Signaling, France). After being washed they were incubated with the appropriate secondary antibodies: anti-rabbit HRP conjugated (111-036-045, Jackson ImmunoResearch), anti-mouse HRP conjugated (115-036-062, Jackson ImmunoResearch) and detected by chemiluminescence. All the experiments were repeated at least three times. For quantification, blots were exposed to X-ray films during intervals of different lengths and the films were scanned and analyzed using NIH ImageJ software.
Insulin treatment
For this experiment the P2 protocol was chosen in order to focus on the effect of oxygen on the activation of the differentiation process by insulin. 50 x 104 cells were seeded in Petri-dishes of 100 mm diameter and cultured in GM for 72h at 21% O2. The cultures were then incubated in hypoxic chambers at 1%, 5%, 21% O2 with or without 100 mM insulin (Sigma, France). The incubation times were 4 hours for the analysis of the Akt pathway stimulation and 3 days for the evaluation of the fusion index.
Determination of total glutathione peroxidase activity and catalase activity
The L6 myoblasts were seeded at 50 x 103 cells per well in 6-well plates and were incubated in GM for 5 days at 1%, 5% and 21% O2. The onset of the differentiation was verified by microscopy. The protein extraction was carried out by lysing and sonication in a 0.5 mM Tris buffer, 10 mM DTPA, 100 mM phenyl methyl sulfonyl fluoride (PMSF). Whole cell homogenates were obtained by centrifugation at 10000 g, in order to analyze the glutathione peroxidase, catalase activities and the TBARS quantification. The data presented are the result of three different cultures.
The catalase activity was quantified using the method described by Beers and Sizer [21]. Briefly, 20 µl of cell homogenates were incubated with 880 µl of phosphate buffer (50 mM KH2PO4, 50 mM Na2HPO4) and 100 µl of 0.15% H2O2. The kinetics of the disappearance of H2O2 was followed at 240 nm for 1 min. The catalase activity was calculated as follows:
Ucat/gprotein=(((∆OD/ min)XRV)/(0,0436XSV)/m)
where RV=reaction volume, SV=sampling volume and m=muscle cell mass in g.
The glutathione peroxidase activity was assayed on cell homogenates using the glutathione peroxidase assay kit (CGP1, Sigma, France) as described by the manufacturer's protocol. Briefly, 50 µl of cell homogenates were incubated with tert-butylhydroperoxide (t-BHP), NADPH, and the assay buffer containing glutathione and glutathione reductase for 1 min. The reaction was monitored at 340 nm for 3 min. The activity was calculated as follows:
mUGPx/ml=(((∆OD/ min-∆ODblank/ min)XRV)/6,22XSV)X2X1000 where RV=reaction volume and SV=sample volume.
The TBARS analysis was performed in cells cultured at 1%, 5%, 21% O2 and in the culture medium. The lipid peroxidation was monitored by measuring the TBARS formed with minor modifications [22]. Briefly, 450 µl of shredded muscle cells were added to 100 l of sodium dodecyl sulfate (SDS), 750 µl of 10% acetic acid, 750 µl of 1% thiobarbituric acid, agitated and incubated for 1h at 95°C. The precipitates were extracted in 3 ml of butanol and centrifuged for 10 min at 10 000 g. The absorption was read at 532 nm. To quantify the TBARS in homogenates, the absorptions were compared with those obtained with a range of concentrations of maldhehyde acid (MDA).
N-acetyl cysteine treatment
The P1 protocol was used in this experiment. The L6 myoblasts were seeded at 50 x 103 cells per well of 6 well-plates and incubated in GM at 21% or 1% O2. NAC was added at day 0 (seeding), and every subsequent 48h at concentration 0.5 to 5 mM when the culture medium was renewed. Previously, a dose-response of NAC was performed. The deleterious effects of NAC on both the proliferation and differentiation were observed between 5 mM and 1.5 mM. After 72h of culture, the cells were counted as described above. After 8 days, the cells were immunostained using anti-MHC antibodies to identify myotubes.
Statistical analyses
The statistical significance of data is presented as mean ± SD. The Effects of oxygen on the proliferation, fusion indexes and oxidative stress parameters were evaluated using the two-parameter test of analysis of variance (2D-anova). The Newman Keuls test was used for post hoc testing. All statistical analyses were carried out using Statistica software (StartSoft Inc. Tulsa, UK, USA), in all statistical testing 0.05 was considered to indicate statistical significance.
Results
L6 myoblast proliferation is altered in 1% O2
To study the effects of hypoxia on cell proliferation, the L6 myoblasts were cultured in GM and exposed to 1%, 5% and 21% O2. Control cultures were exposed to 21% O2 and 5% O2 corresponding to in vitro and in vivo normoxia conditions respectively. Cells cultured in hypoxia were exposed to 1% O2 corresponding to pathological hypoxia. The number of viable cells in culture dishes was assessed every 24 hours for 3 days. Figure 1A shows that after 48h and 72h of culture, the number of cells was lower at 1% O2, compared to 21% and 5% O2. In addition, no difference was observed between 21% and 5% O2. The generation time was calculated and results show an increase of 8 hours at 1% O2 compared to other conditions (Fig. 1B). These results suggest that the L6 myoblasts proliferation was slower when the myoblasts were grown in hypoxia compared to control conditions. It has to be noted that the same results were obtained using Cyquant Assay Kit (Invitrogen, france) (Data not shown).
L6 lineage myoblasts were cultured at different percentages of oxygen in GM for 72h in order to evaluate the effects of oxygen on the proliferation process. The cells were removed and counted each 24h to follow the kinetics of growth (A). Generation time was calculated for each percentage of oxygen using the relation t=y/((lny/x)ln2) where y is the number of cells after 48h of culture and x the number of seeded cells (B). Data are presented as mean ± SD, * p≤0.05, *** p≤0.001.
L6 lineage myoblasts were cultured at different percentages of oxygen in GM for 72h in order to evaluate the effects of oxygen on the proliferation process. The cells were removed and counted each 24h to follow the kinetics of growth (A). Generation time was calculated for each percentage of oxygen using the relation t=y/((lny/x)ln2) where y is the number of cells after 48h of culture and x the number of seeded cells (B). Data are presented as mean ± SD, * p≤0.05, *** p≤0.001.
L6 myoblast differentiation depends on the O2 concentration in the culture chamber
The muscle differentiation is characterized by the myoblast fusion yielding the formation of plurinucleated myotubes. To analyze the effects of oxygen on this process, L6 myoblasts were cultured following two protocols P1 and P2. Differentiated myotubes were detected with an anti-MHC antibody and nuclei were stained with Hoechst at day 8 in GM for P1 and at day 3 in DM for P2. Figure 2A-C shows the differentiation in the different O2 conditions during the P2 protocol. We can notice that the size of myotubes was bigger at 5% O2 and the number of nuclei per myotube was higher (Fig. 2A-C). Then, the fusion index (number of nuclei per myotubes/total number of nuclei in the culture) was calculated to quantify the cell differentiation. In Figure 2D, the fusion index was significantly higher after 10 days of culture at 5% O2 (35%) compared to 21% O2 (27%). In the 1% O2 condition, the fusion index was drastically reduced (2%) compared to 5% and 21% O2 and few myotubes were detected by immunohistochemistry (Fig. 2A). To validate these data, myoblasts were cultured for 8 days in DM to induce cell differentiation (P2). Similar results were obtained (Fig. 2E).
In order to evaluate the effects of oxygen on differentiation we measured the fusion index after the “P1 protocol” where L6 myoblasts were grown 8 days in GM (C) or the “P2 protocol” where L6 myoblasts were cultured 72h in GM and 3 days in DM (A-B). For both protocols myotubes were stained with antibody against fast MHC that recognizes all myotubes. In figure B and C we can notice that the fusion index is improved at 5% O2 while it is altered at 1% compared to 21% O2. Data are presented as mean ± SD, * p≤0.05, *** p≤0.001.
In order to evaluate the effects of oxygen on differentiation we measured the fusion index after the “P1 protocol” where L6 myoblasts were grown 8 days in GM (C) or the “P2 protocol” where L6 myoblasts were cultured 72h in GM and 3 days in DM (A-B). For both protocols myotubes were stained with antibody against fast MHC that recognizes all myotubes. In figure B and C we can notice that the fusion index is improved at 5% O2 while it is altered at 1% compared to 21% O2. Data are presented as mean ± SD, * p≤0.05, *** p≤0.001.
Altogether, these data show that the differentiation is more effective at 5% O2 and altered by hypoxia.
PI3K/Akt pathway is modulated in an oxygen-dependent manner
The PI3K/Akt/mTOR signaling pathway has been shown to regulate the myoblast differentiation [23,24,25]. The state of activation of this pathway was analyzed at 1%, 5%, 21% O2 by Western blotting using antibodies against the p110 catalytic subunit of PI3K and the phosphorylated form of Thr308-Akt. Figure 3A shows that the level of the p110-PI3K protein was significantly higher in 5% O2-cultured cells compared to 21% O2 after 48h of culture. Interestingly, the level of p110-PI3K protein was lower at 1% O2 compared to cells cultivated at 5% O2, after 24h and 48h of culture. Consistent with this result, the protein level of Thr308-Akt was also weaker in 1% O2-cultured cells compared to 5% and 21% O2 after 48h of culture (Fig. 3B). Altogether, these results suggest that the low oxygen level (1%) inhibits the activation of the PI3K/Akt signaling pathway in the L6 myoblasts whereas it is up-regulated at 5% O2 compared to 21% O2.
In these experiments, we aimed to evaluate the role PI3K/Thr308-Akt in the differentiation process. In order to eliminate the effect of oxygen on proliferation we first incubated L6 myoblasts 72h in GM at 21% O2 and then differentiation was induced by incubation in DM for 24h and 48h at the three percentages of oxygen in A, B, C and D. In C and D, insulin (100 mM) was added at the time of incubation in DM at the different percentages of oxygen for 4 hours (C) and for 3 days (D). (C) Evaluation of Thr308-Akt after 4 hours of insulin stimulation by western blotting at 1%, 5% and 21% O2. Presented gels are representative of at least three independent experiments. (D) Quantification of fusion indexes after 3 days in DM at different percentages of oxygen in presence or absence of insulin. Data are presented as mean ± SD, * p≤0.05, ** p≤0.001.
In these experiments, we aimed to evaluate the role PI3K/Thr308-Akt in the differentiation process. In order to eliminate the effect of oxygen on proliferation we first incubated L6 myoblasts 72h in GM at 21% O2 and then differentiation was induced by incubation in DM for 24h and 48h at the three percentages of oxygen in A, B, C and D. In C and D, insulin (100 mM) was added at the time of incubation in DM at the different percentages of oxygen for 4 hours (C) and for 3 days (D). (C) Evaluation of Thr308-Akt after 4 hours of insulin stimulation by western blotting at 1%, 5% and 21% O2. Presented gels are representative of at least three independent experiments. (D) Quantification of fusion indexes after 3 days in DM at different percentages of oxygen in presence or absence of insulin. Data are presented as mean ± SD, * p≤0.05, ** p≤0.001.
The binding of insulin to its receptor activates the phosphorylation of Insulin Receptor Substrates (IRS) and the PI3K pathway. Therefore, the effects of insulin on the L6 myoblast differentiation were studied in each oxygen condition. Figure 3C shows that insulin treatment stimulates the phosphorylation level of Thr308-Akt protein in L6 myoblasts grown in 5% and 21% O2 but not in 1% O2. In addition, the fusion indexes were measured in myoblasts cultured with and without insulin (Fig. 3D). In agreement with our previous results the fusion indexes were significantly higher in insulin-treated cells compared to the control cells at 5% and 21% O2. However, the fusion indexes were not different in the cells treated or not with insulin at 1% O2.
These results show that the insulin treatment did not activate the PI3K/Akt signaling pathway or restore the myoblast differentiation process in hypoxia.
Glutathione peroxidase activities are dependent on oxygen in culture medium
Mitochondria have long been considered as likely sites for oxygen sensing, and the electron transport chain acts as an O2 sensor by releasing Reactive Oxygen Species [12]. In response to hypoxia, these could accumulate and alter the differentiation process. To analyze this parameter in both the hypoxic and normoxic L6 myoblasts, the cells were allowed to grow in GM for 5 days. At this time, the Glutathione peroxidase (GPx), catalase activity and TBAR accumulation were estimated. Figure 4A shows that the TBAR accumulation was weaker in the L6 cells incubated at 5% O2 compared to 21% and 1% O2. Interestingly, the accumulation of TBARS was not significantly different between 21% and 1% O2. Figure 4B shows that the GPx activity was significantly weaker in cells cultivated at 1% O2 compared to cells cultivated at 21% and 5% O2. In agreement with the TBARS quantification, the GPx activity was higher in the 5% O2-cultivated cells compared to the 21% O2-cultivated cells (Fig. 4B). Figure 4C shows no significant differences between the different O2 conditions for the catalase activity.
The oxidative status was measured during differentiation to evaluate its role at the onset of spontaneous differentiation . For this purpose, cells were grown in GM for 5 days and the TBARS cell contain (A), catalase activity (B) and glutathione peroxidase (C) were quantified at different O2 percentages. At this day of culture, we observed the formation of the first myotubes at 21% and 5% O2. Data are presented as mean ± SD, * p≤0.05, ***p≤0.001.
The oxidative status was measured during differentiation to evaluate its role at the onset of spontaneous differentiation . For this purpose, cells were grown in GM for 5 days and the TBARS cell contain (A), catalase activity (B) and glutathione peroxidase (C) were quantified at different O2 percentages. At this day of culture, we observed the formation of the first myotubes at 21% and 5% O2. Data are presented as mean ± SD, * p≤0.05, ***p≤0.001.
Altogether, these results suggest that 21% O2 induces an oxidative stress in L6 myoblasts and consequently, 5% O2 seems to be the optimal condition for cell differentiation. Moreover, an increase in the TBARS quantity is correlated with a weaker GPx activity in hypoxic cells. In the same way, the increase in GPx activity was correlated with a weaker TBARS accumulation in the normoxic cells (5% O2).
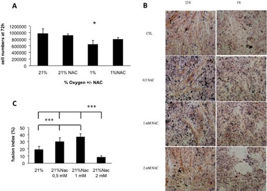
N-acetyl cysteine counteracts the alteration of myoblast proliferation at 1% O2
The consumption of NAC antioxidant has been recommended to increase the level of GPx and control the ROS production. In order to known whether the control of the ROS production could improve the L6 proliferation in hypoxia (1% O2), NAC was added to the medium at T0 and after 48h of culture. Dose responses of NAC were carried out and the number of cells was estimated. Between 1mM and 5 mM, the NAC treatment induced a decrease in the cell proliferation at both 21% and 1% O2 conditions compared to the untreated L6 cells (data not shown). However, Figure 5A shows that 0.5 mM NAC did not improve the number of cells after 72h of culture at 21% O2 but this dose was sufficient to increase the number of cells cultivated at 1% O2 compared to the untreated cells at 1% O2.
NAC which is known to reduce the production of ROS was added to culture media at concentrations ranging from 0.5 to 5 mM every 48h. (A) Counting of cells after 3 days of cultures. (B) Immunostaining using an anti-fast MHC antibody at day 8. CTL: control culture without NAC. (C) Quantification of fusion indexes. Data are presented as mean ± SD, * p≤0.05. ***p≤0.001.
NAC which is known to reduce the production of ROS was added to culture media at concentrations ranging from 0.5 to 5 mM every 48h. (A) Counting of cells after 3 days of cultures. (B) Immunostaining using an anti-fast MHC antibody at day 8. CTL: control culture without NAC. (C) Quantification of fusion indexes. Data are presented as mean ± SD, * p≤0.05. ***p≤0.001.
These results show that the NAC treatment can counteract the decrease in cell proliferation in myoblasts exposed to severe hypoxia.
NAC improves the differentiation process at 21% O2 but does not counteract the deleterious effect of 1% O2 conditions
As an accumulation of TBARS at both 21% and 1% O2 was observed in cultured myoblasts, it was suggested that NAC could improve the differentiation process in these oxygen conditions. As observed in myoblast proliferation experiments, the NAC treatment (≥1mM) had deleterious effects on both spontaneous and induced differentiation processes at 1% and 21% O2 (data not shown). Figure 5B-C shows the cell differentiation in 1% and 21% O2 with several concentrations of NAC. When added at 0.5 mM or 1 mM, NAC improved the cell differentiation at 21% O2 after 10 days in GM. Unfortunately, these concentrations did not improve the cell differentiation process in 1% O2-cultured cells (Fig. 5B). Altogether, these results show that the NAC treatment cannot counteract the decrease in cell differentiation in severe hypoxia.
Discussion
The objective of this work was to highlight the role of Akt and oxidative stress in the regulation of the differentiation process of myoblasts from the L6 line by ambient oxygen. Our main results identified 5% O2 as an optimal oxygen level for a reducing environment improving the PI3K/Akt activation. This results in the enhanced myoblast differentiation process. At 1% O2, the Gpx activity and Thr308-Akt phosphorylation were altered resulting in the accumulation of TBARS and the alteration of the myoblast differentiation process.
In the 2000's, oxygen has been suggested to be an important regulator of myogenesis. Most studies have focused on the effects of hypoxia on myoblast differentiation and controversial results were obtained. Actually, Chakravarthy et al. [15] showed that low oxygen (3%) enhanced in vitro potential of satellite cells while Di Carlo et al. [12] observed a deleterious effect of hypoxia (1%) on both the proliferation and differentiation of C2C12 mouse myoblasts. The main explanation for this discrepancy could be the findings of Becker et al [18] and Brevetti et al [26] who measured the pO2 in different skeletal muscles. They found that the intracellular normoxia within skeletal muscles was between 3% and 8% O2. This could explain Chakravarthy's results [15]. In agreement with these findings, we show, in this work, an improvement of the differentiation process at 5% O2 while it is altered at 1% O2. Our results are not entirely consistent with those of Chakravarthy et al. [15]. These authors showed an enhancement of cell-forming colonies on rat primary satellite cell culture at 3% O2 while no improvement was observed using myoblasts from the L6 line, when incubated at 5% O2. This discrepancy begs different responses to the oxygen availability for cells comprised in primary satellite cell cultures contrary to what it has been described before [27].
In this report, we show an O2-dependent regulation of the p110-PI3K/Thr308-Akt pathway during the differentiation of L6 myoblasts. Compared to 21% O2, phosphorylation of Thr308-Akt is improved at 5% O2 but altered at 1% O2. This regulation results in the improvement of the L6 myoblast fusion at 5% O2 and the alteration of the fusion at 1% O2 compared to 21% O2 conditions. The insulin incubation which is known to phosphorylate Thr308-Akt [28] and to improve the muscle differentiation [29] could not counteract the deleterious effect of 1% O2 on the myoblast differentiation. Moreover, our results showed an alteration of the Thr308-Akt phosphorylation, suggesting a loss of sensitivity of the Akt pathway to insulin. Insulin and IGF-1 share the same signaling pathway at the IRS1 level [30]. Majmundar et al [7] found a loss of sensitivity of the IGF-1 receptor at 0.5% O2 in C2C12 cells. Such a loss of sensitivity has been correlated with an accumulation of ROS in cultured fibroblasts from diabetic rats [17]. In our study, cultured L6 myoblasts at both 21% and 1% O2 exhibit a higher TBAR accumulation compared to 5% O2. Moreover, the accumulation is accompanied by an alteration of the glutathione peroxidase activity only at 1% O2. On the other hand, at 5% O2 the level of TBAR is low while the GPx activity is high. In L6 myoblasts 5% O2 seems to be the optimal condition for the best balance between the TBARS production and detoxification. At 1% O2 we can suggest that the oxidative stress is very high and the low activity of GPx does not allow the removing of ROS, which bind to cellular molecules such as IRS and alter the differentiation [17]. At 21% O2 the high production of TBARS is detoxified by glutathione peroxidase, which allows the differentiation to occur. This hypothesis is strengthened by the action of NAC on the differentiation. In fact, NAC at low concentrations (0.5 mM and 1 mM) can improves the differentiation at 21% O2 while it does not restore the differentiation at 1% O2. Interestingly, we found similar fusion indexes in cultures at 5% O2 and 21% O2 in the presence of 0.5 mM NAC (data not shown). However, it should be noted that the differentiation was completely inhibited at a concentration of NAC over 1 mM whatever the level of oxygen. Similar results were observed on the proliferation where NAC has no effect at 0.5 mM and inhibits cell proliferation at concentrations greater than 0.5 mM. Unexpectedly, 0.5 mM NAC could restore growth at 1% O2. While these findings are consistent with Hansen et al [16] who found that a reducing environment enhances the myogenesis in satellite cells of aged muscles, they indicates that antioxidants during myogenesis must be used cautiously. This may explain why Won et al [31] who used 5 mM NAC observed an inhibition of the differentiation.
While the data obtained at 21% O2 and 5% O2 clearly show that the Akt pathway is an oxygen-dependant regulator of the myoblasts differentiation mediated by ROS, as described by Bitar et al [17] in fibroblasts, the low level of oxygen (1%) seems to interfere with many others pathways. Thus, it would be useful to carry out further research on the interaction between Insulin receptors, IRS and ROS by using a combinations of NAC and Insulin or IGF1. Moreover, calcium homeostasis could be another factor involved in the myoblast differentiation.
In conclusion, our study shows that oxygen is a key regulator of the myoblast differentiation mediated by the oxidative status and Akt. The balance between the TBARS production and the detoxification is very important to induce the Thr308-Akt phosphorylation and the differentiation program. Recently, technics have been performed to improve the survival of engrafted cells in both skeletal [32] and cardiac muscles [33] by preconditioning cells at low oxygen levels or with antioxidants [34]. Our study shows that further research should be done to assess the combination of these two technics for the preparation of myoblasts. In addition, the low oxygen levels and the high activity of the ROS detoxification enzymes seem to be of great interest to maintain adult myogenesis and muscle mass.





